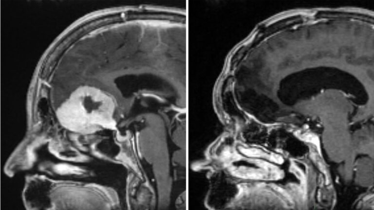
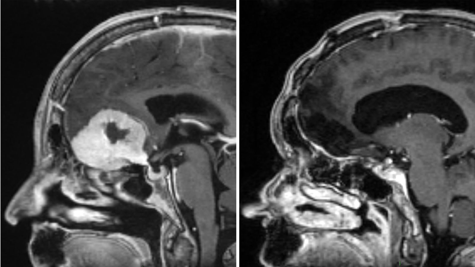
A surgeon is removing brain tumours “the size of large apples” through patients’ eyebrows, in what is believed to be a world first.
Consultant neurosurgeon Anastasios Giamouriadis, based in Aberdeen, has adapted an existing technique to remove the growths, leaving patients with only a small scar and black eye.
The operation can be over in three hours, and some people can leave hospital just 24 hours later and return to work within days.
“With this technique patients wake up straight way, they sometimes go home the day after the operation, where we know patients have quicker and better recoveries,” said Mr Giamouriadis.
Dealing with tumours at the front of the brain normally requires surgeons to remove a large portion of the skull – exposing healthy parts of the brain in the process – in what is known as a craniotomy.
Mr Giamouriadis who works for NHS Grampian said this type of surgery is not new, but he has modified it to give him “more space, through the eyebrow” allowing him “to remove very big brain tumours”.
The technique is “a game-changer and much less invasive”, he said. “Traditionally people would be left with scars across their full forehead, we avoid that with this method.”
“Before we needed do a craniotomy to give us full access. That takes a very long time. To get to the tumour takes up to three hours alone. In total that approach will take eight to 10 hours.”
Doreen Adams, 75, underwent a craniotomy to remove a tumour abroad before later undergoing the eyebrow method last year – known as the Modified Eyebrow Keyhole SupraOrbital Approach for Brain Tumours.
She said: “The recovery after the craniotomy was tough. I contracted sepsis and was ill for a number of weeks and the recovery took a lot of time. Unfortunately that surgery did not solve the problem.
“For me, the difference in the two surgeries is night and day. My recovery… was much, much quicker. I was out of hospital two days later and back to my normal life almost immediately.”
Read more from Sky News:
Pizza with a side of cocaine
Airport sign causes outrage
Mr Giamouriadis and his team have performed the new procedure on 48 patients so far.
Speaking about his modified surgical technique, he said: “We are not aware of anywhere else in the world that has managed to remove tumours as large as we have.”
Mr Giamouriadis is hopeful he can one day use virtual reality to teach other surgeons how to perform the new improved procedure.
