Micro- and nanoplastics found in human brains and livers have increased between 2016 and 2024, according to a new study.
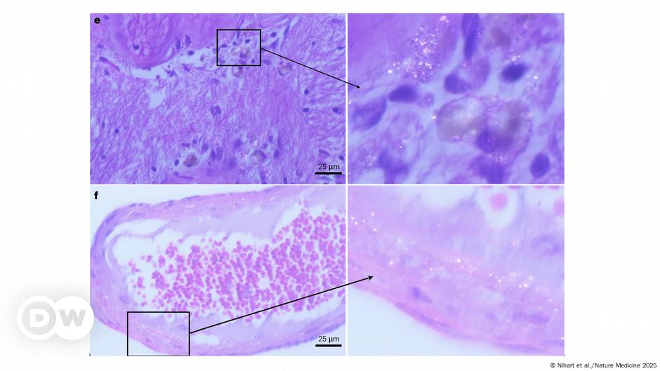
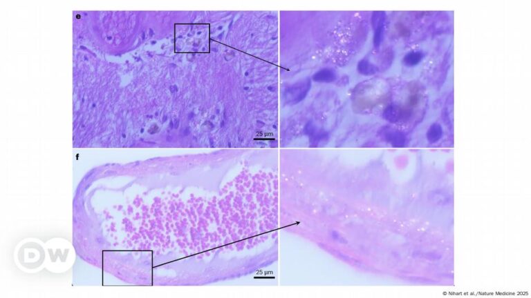
The study, published in Nature Medicine, found brain tissue sampled from human cadavers in 2016 contained substantially higher concentrations of plastic particles than the livers and kidneys.
Micro and nanoplastics are tiny — typically 200 nanometers in length, and much smaller than a human cell.
An analysis performed on cadavers from 2024 found even higher amounts in brain and liver tissues compared to 2016.
“We hypothesize that most of these plastics are not from recent exposure, but are extremely old degradation products. [This] highlights the need for more comprehensive strategies encompassing environmental policy and human health,” study author Marcus Garcia at the University of New Mexico, US, told DW.
However, there is “as yet no strong evidence of any health effects [of nanoplastics in the brain],” said Oliver Jones, an expert in biological chemistry at the University of Melbourne, Australia, who was not involved in the study.
“The authors only [tested] 52 samples in total. There is not enough data to make firm conclusions on the occurrence of microplastics in New Mexico, let alone globally,” Jones said.
Scientists don’t know how microplastics are bad for brain health
The world is awash with plastics — in homes, the air we breathe, the food we eat, the bottles we drink from.
Microplastics are bits of broken-down plastic. Most often, the plastics enter our bodies through ingestion or inhalation. They have been observed in human organs for decades, but their health effects are just beginning to be documented.
There is some evidence that the accumulation of microplastics, especially in critical organs like the liver, can interfere with normal biological functions.
Data from the study also found microplastic accumulation was higher in the brains of 12 patients with dementia.
However, the authors say this link is purely correlational and does not prove microplastics cause dementia. More research is needed to find out if, or how, microplastic accumulation in the brain is bad for health — much the same as for the rest of the body.
“Definitive evidence linking microplastic accumulation to specific human diseases or health outcomes is still lacking,” Garcia said.
“Establishing a causal relationship [to dementia] would require extensive research to understand how or if microplastics contribute to developing or progressing neurological conditions.”
Study may overestimate microplastic accumulation
Jones also urged caution when interpreting the results in the study.
He said it’s impossible to apply the results from such a small study to people around the world. It may also have overestimated the amount of microplastic in the brains of the human cadavers.
Jones also said the main analytical method used to measure plastics is prone to giving false results as “fats [which the brain is mainly made of] give the same products as polyethylene [the main plastic reported],” and questioned the possibility of plastic contamination from the laboratory or the original autopsy.
“Plastic contamination is almost everywhere, so how can we be confident that any particles found are evidence that plastic is crossing membranes in the human body or if it is just contamination?” Jones said.
How do microplastics get in or out of the brain?
The authors say their study raises new questions about the potential health impacts of microplastics in the brain and whether they can be removed.
“One of the biggest questions is understanding the mechanisms behind microplastic accumulation in the brain — how these particles enter and what biological pathways are involved,” said Garcia.
Scientists don’t yet know if our bodies can naturally remove microplastics from the brain and other organs. It’s also unclear if there are methods to help break down microplastics in the body.
“Certainly, more work would be needed to see if this was even possible. We don’t know if microplastics or any other particles would stay in the brain or if they would be removed by the body. Again, more work would be needed to test this.” said Jones.
Edited by: Matthew Ward Agius
Primary source:
Bioaccumulation of microplastics in decedent human brains, Nature Medicine, February 2025 https://www.nature.com/articles/s41591-024-03453-1
