
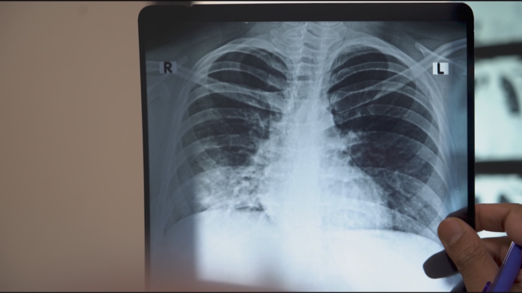
In 2018, Indian Prime Minister Narendra Modi promised to eradicate tuberculosis (TB) in the country by 2025, aiming to set an example globally. Since December 2024, India’s health minister has led a “100-day campaign” to eliminate TB, but recent WHO data shows India is far from its goal. It recorded 2.5 to 3 million new cases and over 400,000 deaths in 2023 alone, accounting for a third of global TB cases and deaths. The country faces two major issues: TB treatment shortages and the rise of multi-drug-resistant TB. While treatments exist, the government’s slow approval of their distribution has hindered progress, leaving India at a critical juncture in its fight against the disease. FRANCE 24’s Khansa Juned and Alban Alvarez report.
Trending
- Clayface Trailer Sees DC Studios Go Body Horror
- The rise and fall of East Germany’s Palace of the Republic
- From pop royalty to raw Americana: 'Michael', 'The New West' and 'Die, My Love'
- ‘The Drama’ starring Zendaya, Robert Pattinson becomes fifth A24 film to cross $100m global box office | News
- Barbara Windsor – Latest news, tributes, pictures and more
- Rihanna, baby Rocki and Dior’s first ever couture diaper
- Can AI Ever Crack Taste?
- These 15 euro H&M pants are behind the revival of zebra print
