
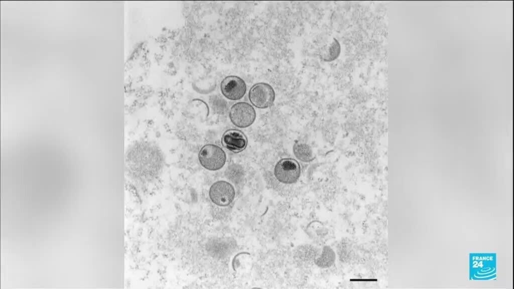
The European Union health agency on Friday (August 16) urged its member states to get ready for more cases of a deadly strain of mpox, a day after Sweden announced the first case outside Africa.
Trending
- A24's new Texas Chainsaw Massacre movie has tapped one of the most exciting horror directors around
- The silent power of memes
- Streep, Hathaway and Blunt reunite for 'The Devil Wears Prada 2' premieres
- Xisi Sofia Ye Chen’s ‘From Dawn To Dawn’, about Chinese former gang member, wins top prize at Switzerland’s Visions du Reel
- The Scoop With Shahram Saadat and Niall Wilson: On Illustrating the Future of AI
- These barrel-leg pants from COS really go with everything in your wardrobe
- Belgische ontwerper Julie Kegels geselecteerd als finalist LVMH Prize 2026
- Ireland’s Bow Street Academy Launches First LA Campus
