
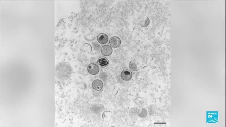
The European Union health agency on Friday (August 16) urged its member states to get ready for more cases of a deadly strain of mpox, a day after Sweden announced the first case outside Africa.
Trending
- Two very different brothers – DW – 11/06/2025
- Paris celebrates Isao Takahata, the pioneer who shaped the soul of Japanese animation
- Prince William hails ‘world’s true action heroes’ at Earthshot awards – and gets praise himself from Kylie | UK News
- Not enough food entering Gaza as winter approaches, according to the UN
- EU investigates Deutsche Börse and Nasdaq derivatives trade – DW – 11/06/2025
- Best and worst hotel chains ranked by cost and customer score | Money News
- EV drivers could face new tax in Budget
- New ‘brain atlases’ may change fight against Alzheimer’s, MS – DW – 11/05/2025
